-

ものづくりのこだわりを伝える日本の職人展を開催
2025/08/13サンプル株式会社そごう・西武同時開催「暮らしの骨董マーケット」8月24日(日)岩崎紘昌氏トークショー開催 洋服やアクセサリー、生活雑貨、家具などの作り手である職人が、商品説明や実演を交えて直接販売するそごう千葉店の人気催事「日本の職人展」を開催い...
続きを読む -

戦後80年 平和へのメッセージ from 知覧
2025/08/13サンプル南九州市第36回スピーチコンテスト「あした いのち かがやけ」 全国各地から計2,654点の応募があり、一次審査、二次審査を通過した中学生・高校生の部各4人、一般の部1人のスピーチと、市内小学生を対象にした平和作文コンテストの優秀賞1人...
続きを読む -

高校生 手話の全国大会へ 西都のサークル所属、優勝目指す
2025/08/13トピックnews西都手話サークルひまわり(加持千佳会長、22人)所属の高校生が、手話の全国大会に挑む。五ケ瀬中等教育学校5年の阿萬暖々果さん(16)と宮崎日大高2年の西田桜和さん(17)は「全国高校生手話パフォーマンス甲子園」、妻高1年の神田実和さん(1...
続きを読む -

グリーンカーテン学校に 串間の環境団体
2025/08/13地域の話題串間市の環境ボランティアグループ「環の会」(河野幸子代表)は、植物で日差しを遮る「グリーンカーテン」を市内の学校や公共施設に広げる活動を展開している。2050年までに二酸化炭素(CO2)排出量実質ゼロを目指す「ゼロカーボンシティ」について...
続きを読む -

【懐かしの昭和】大淀川で水泳祭り(昭和38年)
2025/08/13懐かしシリーズ旧高岡町内であった水泳祭り。当時は町内にプールがなく、大淀川の浅瀬をロープで仕切って水泳場を作り、子どもたちが玉探しや飛び込み競争を楽しんだ。...
続きを読む -

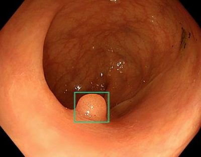
AI利用、医師の技量低下 大腸内視鏡の質検証
2025/08/13国内外ニュース 主要大腸内視鏡検査で医師が普段から人工知能(AI)の助けを借りていると、AIを使わず検査した際にポリープの一種「腺腫」の発見が約20%減るとの研究を、ポーランドなどの国際チームが13日、英医学誌ランセット関連誌に発表した。約2200人分の検査...
続きを読む -

8月16日開業の「ザ・パルス霧島」で、鹿児島の恵みを心ゆくまで。ライブキッチンを備えた贅沢ビュッフェレストランをオープン。
2025/08/13サンプルソラーレ ホテルズ アンド リゾーツ株式会社目の前で炙る鹿児島若鶏の炭火焼やかつおの藁焼き、揚げたての黒豚とんかつやさつま揚げ。地元酒造の芋焼酎やウィスキーも充実。 ソラーレ ホテルズ アンド リゾーツ株式会社(所在地:東京都港区、代表取...
続きを読む -

大麻1トン押収、過去最大量 52億円相当、麻薬取締部
2025/08/13国内外ニュース 主要関東信越厚生局麻薬取締部は13日、海上コンテナに隠して密輸された乾燥大麻1・046トン(末端価格52億円相当)を押収したと発表した。同部によると、違法薬物の1度の押収量として過去最大。乾燥大麻は統計が残る1954年以降、年間押収量としても...
続きを読む -

全国初!「旅先納税(R)」の返礼品を寄附先以外の地域で体験に利用する取り組みがスタート
2025/08/13サンプル株式会社ギフティ~国頭村旅先納税の返礼品「くにがみ村e街ギフト」で全国のコニカミノルタプラネタリウム5館で上映される「星結いの森-沖縄・国頭村の星空-」の鑑賞料金の支払いが可能に~ eギフトプラットフォーム事業(※1)を展開する株式会...
続きを読む -

保育施設「人材不足」80% 運営に苦労、こども庁調査
2025/08/13国内外ニュース 主要保育施設の80・3%が、保育士らの人材不足を感じていることが13日、こども家庭庁の委託調査で明らかになった。全体のうち25・3%は、人材不足によってこどもを定員まで受け入れられなかった経験があると答えた。職員が休暇を取得する際の調整で人手...
続きを読む